超音波エコー観察|精密検査

「痛みを可視化する」という、
医療の責任。

レントゲンでは異常なしと言われたのに痛みが引かない。そんな不安に終止符を打ちます。当院では最新鋭のエコー観察装置を導入し、骨・靭帯・筋肉の損傷をミリ単位でリアルタイムに可視化します。

エコー精密検査「勘」に頼らず、画像データに基づいた根拠ある説明を徹底します

当院のこだわり:極めて鮮明な解像度

当院が採用しているプローブは、怪我の多い「表層3〜4cm」の状態を驚くほど鮮明に映し出す特殊仕様(コニカミノルタ L18-4)です。微細な肉離れや、レントゲンでは見逃されがちな軟骨の損傷も正確に捉えます。

症例紹介(Case Study)

Case 01:野球肘(内側上顆骨折)

「あ、やばい」と思ったその1球。

野球肘・内側上顆骨折のエコー画像

▲ エコーで捉えた内側上顆(骨端核)の損傷。微細な骨の連続性の不全を可視化しています。

中学生の野球選手。投球中にはっきりと「痛めた瞬間」を覚えているケースでした。この記憶がある場合は急性外傷の可能性が高いため、即座に精密検査が必要です。

【エコー所見】

内側上顆(成長期特有の骨端核部分)の損傷を可視化。骨の不整や、周囲の炎症反応を客観的に評価しました。

アプローチと結果: LIPUS(低出力パルス超音波)による細胞活性化を連日行い、通常よりも早い1ヶ月での競技復帰を果たしました。

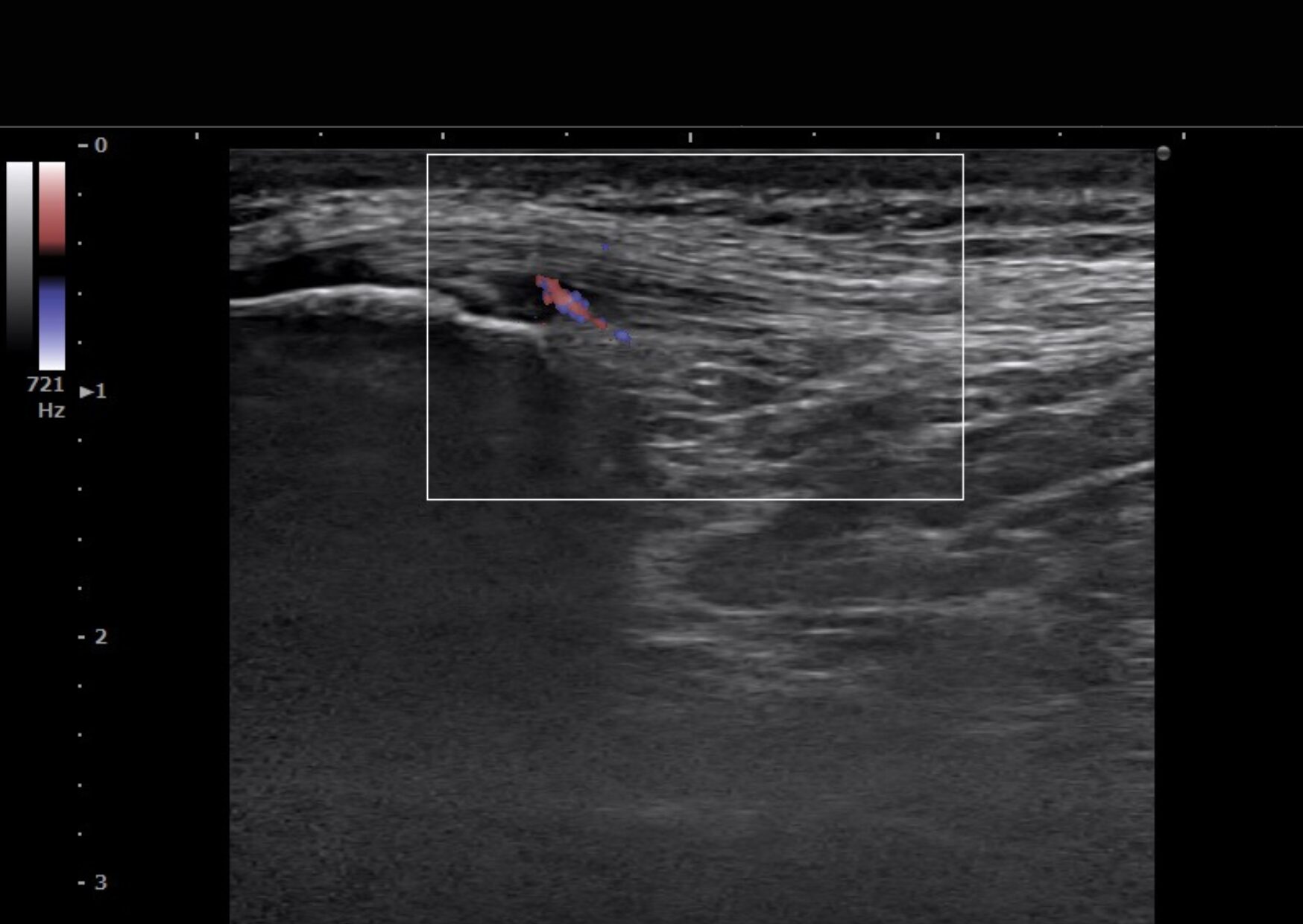
Case 02:膝蓋靭帯炎(ジャンパー膝)

着地の衝撃で「膝が抜ける」感覚。

膝蓋靭帯炎のドップラーエコー画像

▲ ドップラー機能による血流診断。赤い信号が炎症の火種(活動期)をリアルタイムに捉えています。

大学生のバスケットボール選手。着地時に体勢を崩して以来、膝の前面の腫れと、歩く時に膝がガクンと抜ける防御反応が出ていました。

【ドップラー機能による可視化】

当院のエコーは血流信号を捉える「ドップラー機能」を搭載。靭帯の付着部で火種のように燃え上がる炎症反応をリアルタイムで確認しました。

アプローチと結果: 炎症のピークを特定しピンポイントで消炎処置を実施。わずか1週間で「膝の抜け感」が消失しました。

不安を「納得」に変えて、再始動しましょう。

24時間WEB予約にて空き状況をリアルタイムで確認可能です

24時間WEB予約・空き状況確認

0466-65-0189