【湘南台 膝の痛み バスケット】着地で膝が抜ける?エコーのドップラーで見えた「炎症の正体」
バスケットボールやバレーボールなど、ジャンプ動作の多い競技において「膝の痛み」は避けては通れない悩みの一つです。
先日来院された大学生のバスケットボール選手も、着地の瞬間に体制を崩して以来、膝の前面に痛みと腫れを抱えていました。特に彼を不安にさせていたのは、**「歩く時に膝がカクンと抜けるような感覚」**があることでした。
膝が「抜ける」感覚の裏側にあるもの
「膝が抜ける(ギビングウェイ)」という症状は、靭帯の断裂などの大きな怪我でも起こりますが、今回のような慢性的な炎症(膝蓋靭帯炎)でも、痛みによる防御反応として起こることがあります。
大切なのは、「なぜ抜けるのか」という原因を、選手本人が納得できる形で確認することです。
ドップラー機能で「痛みの火種」を可視化する
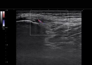
当院では最新鋭の超音波エコー観察装置を使用し、患部の状態をリアルタイムでチェックします。今回のケースで威力を発揮したのが**「ドップラー機能」**です。
※ドップラー機能とは?
組織内の血流の動きをカラーで表示する機能です。通常、健康な靭帯には血流はほとんど見られませんが、強い炎症が起きている場所や、損傷を修復しようとして異常な血管が増えている場所には、赤い信号(ドップラー信号)が強く現れます。

いわば、「今まさに燃えている痛みの火種」を視覚化する技術です。
今回のエコー検査でも、膝蓋靭帯の付着部にハッキリとした炎症反応を確認。選手本人も「あ、ここが原因だったんですね」と、自分の痛みの正体をモニター越しに納得されていました。
1週間で「膝の抜け」が消失した理由
原因が特定できれば、アプローチは明確です。
- ピンポイントの物理療法: エコーで特定した炎症部位に対し、ハイボルテージや超音波を組み合わせた消炎処置を徹底。
- 身体OSの再起動(ZAT): 単に膝を処置するだけでなく、着地時に膝へ負担を強いていた「姿勢の崩れ」と「呼吸による体幹の不安定さ」を調律。
結果、わずか1週間で「膝が抜ける感覚」が消失。スムーズな歩行と、復帰に向けた軽いジョギングが可能な状態まで回復しました。
最新の症例や院内の様子はGoogleマップで公開中
アスリートケア整骨院では、日々こうした「可視化」に基づいた施術を行っています。 予約状況や院内の雰囲気はGoogleマップでもご確認いただけます。
身体の「可能性」を再起動しましょう
「膝が抜ける」「力が入らない」といった不安は、競技パフォーマンスを著しく低下させます。まずはエコーで原因を「視る」ことから始め、最短距離での復帰を目指しましょう。
24時間WEB予約・空き状況の確認はこちらから https://athlete-care.net/injury/
お電話でのご相談もお気軽にどうぞ。 [ 0466-65-0189 ]
「必要なのは治療ではない。チューニングだ。」 アスリートケア整骨院 院長 金井 鋼ニ